Occipucio del cráneo Occiput cranii.. Cuerpo humano >. Son cookies necesarias para la navegación que aseguran el correcto funcionamiento del sitio web y permiten su optimización (detectar problemas de navegación, conectarse a su cuenta IMAIOS, pagos en línea, depuración de errores y seguridad del sitio web)... Importancia clínica. El traumatismo del occipucio puede ocasionar fractura de la base del cráneo.Un occipucio prominente es característico de la trisomía 18 (síndrome de Edwards), asociado a micrognatia [1] (mandíbula pequeña), pabellones auriculares de implantación baja y retardo mental.También se asocia a trisomía 9.La identificación de la ubicación del occipucio fetal es.
Hueso occipital Dolopedia

Morfofisiologia Osteologia CRÁNEO

ATENSALUD Enfermaría Geriátrica y Sociosanitaria Ulceras por presion UPP Oposiciones

Huesos SUPERNUMERARIOS Qué son, significado, dónde se encuentra, función y lesiones YouTube

Hueso occipital Definición CCM Salud
Músculo occipital Dolopedia

Hueso Occipital

Hueso Occipital Atlas de Anatomía

Neurocráneo Anatomía del S. N. Y O. de los S.

Lesiones de nacimiento el trauma en la cabeza debido a la entrega de extracción al vacío

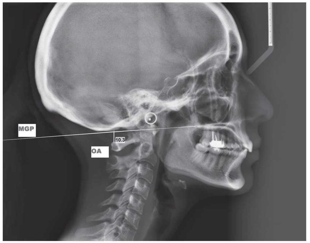
Modificaciones radiológicas del espacio entre el occipucio y el cuerpo del atlas tras una

Torcedura de la columna vertebral Fotos e Imágenes de stock Página 2 Alamy

02. Cráneo Enfermería

Anatomía Músculo Occipitofrontal Origen inervación función YouTube

Latigazo cervical De delante a atrás traumatismo encéfalocraneano cerrado Fotografía de stock

¿Qué es y dónde se ubica el occipucio? El Siglo de Torreón

Músculo occipitofrontal Dolor y puntos gatillo
ANATOMÍA DEL NERVIO OCCIPITAL MAYOR Dolopedia

Cara y Cuello Por Ada Cuello y Sharlyn

Estudio comparativo de la posición craneocervical de la cabeza y su relación con patrones
Sin embargo, lo más probable es que no seas una ameba —dado que usas Khan Academy en este momento— y las cosas no son tan simples para los grandes organismos multicelulares como los seres humanos. Tu complejo cuerpo tiene más de 30 billones de células y la mayoría de estas células no están en contacto directo con el ambiente externo. 1 Una célula en las profundidades de tu.. Visión general de las diferentes regiones anatómicas del cuerpo humano. Cuerpo humano en posición anatómica (vista anterior) El cuerpo humano es una pieza de ingeniería compleja e intrincada en la que cada estructura juega un papel preciso. ¡Hay aproximadamente 200 huesos, 650 músculos, 79 órganos y suficientes vasos sanguíneos para.